Understanding Colles’ Fracture: A Common Wrist Injury By Dr. Kashyap Solanki – Orthopaedic Surgeon, Andheri East, Mumbai
- Dr. Kashyap Solanki

- Aug 11, 2025
- 2 min read
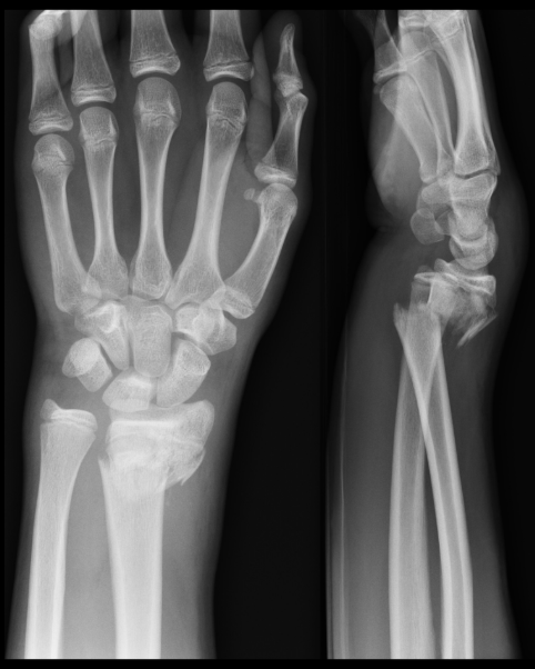
A Colles’ fracture is one of the most common types of wrist fractures, especially among older adults. It typically occurs when a person falls on an outstretched hand, causing the distal radius (the larger forearm bone) to break near the wrist joint.

What Exactly Is a Colles’ Fracture(Wrist Fracture)?
It involves a fracture of the distal radius with the broken fragment angling upward (dorsally).
Often described as a “dinner fork” deformity due to the shape the wrist takes after the injury.
Common Causes
Fall on an outstretched hand (FOOSH)
Osteoporosis or low bone density in older adults
Sports injuries or accidents in younger individuals
Symptoms to Watch For
Sudden pain in the wrist after a fall
Swelling and bruising
Deformity or abnormal bend in the wrist
Difficulty moving the wrist or fingers
Tenderness over the distal radius
Diagnosis
X-ray is the gold standard to confirm the fracture and evaluate displacement.
In complex cases, a CT scan may be recommended.

Treatment Options
🔹 Non-Surgical (Conservative)
Closed reduction (manual realignment)
Plaster or fiberglass cast immobilization for 4–6 weeks
Best suited for non-displaced or minimally displaced fractures
🔹 Surgical
Required for displaced, unstable, or comminuted fractures
Options include:
Internal fixation with plates and screws
External fixation in complex or open fractures
Recovery & Rehabilitation
Pain relief and swelling management in early days
After cast/surgery: wrist physiotherapy is essential
Most patients regain good function in 8–12 weeks
Full strength may take a few months, depending on age and fracture severity
When to See an Orthopaedic Surgeon?
If you’ve suffered a wrist injury and notice swelling, pain, or deformity, don’t ignore it. Early treatment of Colles’ fractures prevents long-term complications like wrist stiffness, malunion, or arthritis.
Need expert care?
Book an appointment with Dr. Kashyap Solanki, wrist fracture specialist in Andheri East, Mumbai.Prompt treatment, proper alignment, and rehabilitation are key to full recovery.
About Dr. Kashyap Solanki
Orthopaedic Surgeon – Andheri East, Mumbai
Dr. Kashyap Solanki specializes in hip and knee replacement, robotic-assisted knee surgery, and joint preservation procedures like HTO, arthroscopy, and ligament reconstruction. He is also known for performing complex revision joint replacements and managing challenging upper and lower limb fractures. With a focus on precision and patient-centered care, Dr. Solanki helps restore mobility and improve quality of life through advanced orthopaedic solutions.
Orthopaedic Surgeon in Juhu, Orthopaedic Surgeon in Vile Parle, Orthopaedic Surgeon in Andheri, Orthopedic Surgeon in Mumbai, Hip & Knee Replacement Surgeon in Andheri, Hip & Knee Replacement Surgeon in Juhu, Hip & Knee Replacement Surgeon in Vile Parle, Hip & Knee Replacement Surgeon in Santacruz, Orthopaedic Surgeon in Santacruz, robotic knee replacement, total knee replacement (TKR), gold knee replacement, arthroscopic knee surgery (knee arthroscopy), Hiflex knee replacement, unicompartmental knee replacement, total hip replacement, shoulder replacement, shoulder arthroscopy, microlumbar discectomy, lumbar fusion, spine surgery, Orthopedic Surgeon, Knee Specialist Mumbai, Hip Replacement Surgeon Mumbai, Spine Surgeon Mumbai, Andheri East, Santa Cruz East, Mumbai, Knee & Spine Clinic, Orthopedics & Physiotherapy, Specialized knee, hip, spine treatments, Minimally invasive spine surgery, Precision Orthopedics, Joint Replacement Surgery, Physiotherapy post-surgery





Comments